Maintaining oral health is essential for a confident smile and overall well-being. One of the most common treatments for damaged or decayed teeth is a dental filling in Islamabad, a reliable procedure offered at leading clinics such as Royal Cosmetics Surgery. Many people deal with tooth sensitivity, cavities, or enamel wear and require professional intervention to restore their teeth. At Royal Cosmetics Surgery, dental fillings are performed using advanced techniques and high-quality materials to ensure durability, comfort, and natural results. Experienced specialists like Dr. Sundus Rashid Gilani ensure that patients receive precise care, helping them maintain both dental function and aesthetics.
What is a Dental Filling?
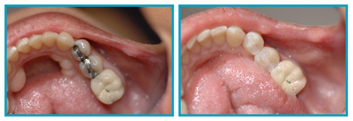
A dental filling is a restorative treatment used to repair teeth that are damaged due to cavities, decay, or minor fractures. By filling the affected area, dentists prevent further damage and protect the tooth’s structure. Fillings also relieve discomfort caused by sensitivity and restore the ability to chew food comfortably.
Why Do You Need a Dental Filling?
There are several reasons why patients may require a filling:
- Cavity Treatment: When plaque erodes tooth enamel, cavities form, and fillings stop decay from spreading.
- Tooth Restoration: Minor fractures or wear can be restored with a filling.
- Pain Relief: A filling reduces tooth sensitivity caused by decay.
- Prevention: It stops bacteria from progressing deeper into the tooth, preventing the need for root canal therapy.
Types of Dental Fillings Available
At Royal Cosmetics Surgery, patients can choose from a range of dental filling materials depending on their dental needs and budget:
- Composite Fillings – Tooth-colored, aesthetic, and blend naturally.
- Amalgam Fillings – Durable and long-lasting, suitable for back teeth.
- Ceramic Fillings – Resistant to staining and highly aesthetic.
- Glass Ionomer Fillings – Release fluoride to help protect teeth from further decay.
Step-by-Step Dental Filling Procedure
The process of dental filling is straightforward and minimally invasive:
- Examination & Consultation – The dentist examines the cavity and discusses suitable filling materials.
- Anesthesia – Local anesthesia is applied to numb the tooth and surrounding area.
- Decay Removal – Damaged portions of the tooth are carefully removed.
- Tooth Preparation – The area is cleaned and shaped for the filling.
- Filling Placement – The chosen material is placed and molded to match the tooth structure.
- Polishing – The filling is polished for a smooth finish and natural look.
Cost of Dental Filling in Islamabad
One of the most common questions patients ask is about pricing. The cost for dental filling in Islamabad varies depending on the type of filling material used, the size of the cavity, and the clinic’s expertise. On average, the price ranges between PKR 3,000 to PKR 10,000 per tooth. Composite and ceramic fillings usually cost more due to their natural appearance and durability. Royal Cosmetics Surgery provides transparent pricing and customized treatment plans to suit each patient.
Recovery and Aftercare
After getting a filling, patients should follow some essential care tips:
- Avoid chewing hard or sticky foods immediately after the procedure.
- Maintain proper oral hygiene by brushing twice daily and flossing.
- Use a fluoride toothpaste to protect the teeth.
- Schedule regular dental checkups to monitor the condition of your fillings.
Possible Side Effects and Concerns
Although fillings are safe, patients may experience:
- Mild tooth sensitivity to hot or cold drinks.
- Temporary discomfort when chewing.
- Rare cases of filling dislodgement if aftercare is not followed.
These issues are usually temporary and can be addressed by the dentist.
How Long Do Dental Fillings Last?
The lifespan of a dental filling depends on the type of material and oral care routine.
- Composite fillings: 5–7 years
- Amalgam fillings: 10–15 years
- Ceramic fillings: 10+ years with proper care
Regular dental checkups at Royal Cosmetics Surgery ensure fillings remain intact and effective.
Why Choose Royal Cosmetics Surgery?
When it comes to dental filling in Islamabad, choosing the right clinic is crucial. At Royal Cosmetics Surgery, patients benefit from:
- Experienced dentists like Dr. Sundus Rashid Gilani, who specialize in restorative dentistry.
- State-of-the-art technology for accurate diagnosis and treatment.
- A wide variety of filling materials for both function and aesthetics.
- Affordable treatment packages with transparent pricing.
Conclusion
A healthy smile begins with strong teeth, and cavities should never be ignored. Getting a dental filling in Islamabad at Royal Cosmetics Surgery is a safe, effective, and lasting solution for tooth decay and damage. With skilled dentists such as Dr. Sundus Rashid Gilani and advanced filling techniques, patients can restore their smiles with confidence. If you’re experiencing tooth sensitivity, cavities, or pain, don’t delay—consult the experts at Royal Cosmetics Surgery for personalized dental care.
Related Reads
- Local SEO Marketing in Maryland: Connecting Businesses With Their Communities
- Getting Your Money’s Worth Out of Golf Bags for Sale
- Can Ozempic Injection Control Cravings by Targeting Appetite?
- Seamless Transport Solutions from Birgunj to Hetauda – Reliable Passenger & Cargo Services in Nepal
- Can Drain Services in Northumberland Prevent Flooding?